Ortodontzia Donostian
Ortodontziak garrantzi berezia du gure klinikan; izan ere, hozkada egonkorrak sortzen ditu, eta horrek pazientearen jarrera hobetzen laguntzen du, baita hortz-estetika egokia lortzen ere.

Ortodontzia-tratamenduak bizitzaren etapa bakoitzerako
Gure ikuspegian, prebentzioak funtsezko zeregina du. Badakigu haurren masailezurrak erraz molda daitezkeela, eta horrek etorkizuneko arazoak prebenitzea ahalbidetzen digu.
Bizitzako etapa bakoitzerako tratamendu ortodontziko bakarra eskaintzen dugu.
Aurreikusi gaur irribarre egiteko bihar.
Ortodontziak etapa bakoitzerako
Haur-etapa
5/6 urtetik aurrera, hortzen eta hezur-egituren garapena eta hazkundea ebaluatzen ditugu. Beharrezkoa bada, ortopedia-aparatuak erabiltzen ditugu goiko masailezurra eta masailezurra behar bezala hazteko. Gure arreta ohitura txarrak saihestera bideratzen da, etorkizuneko arazoak prebenitzeko.
Nerabezaroa
12 urtetik aurrera, egiturak ondo eratuta daudenean, hortzak lerrokatzen eta berdintzen saiatzen gara, irribarre eder eta osasungarria lortzeko.
Helduaroa
Gure tratamendu ortodontzikoak problema funtzionalak ebaztean edo irtenbide estetikoak ematean oinarritzen dira, beti nahi izan duzun irribarrea erakusteko.

Ortodontzia Erauzgarria

Ortodontzia finko estetikoa

Ortodontzia finko metalikoa

Ortodontzia ikusezina

Ortodontzia Erauzgarria

Ortodontzia finko estetikoa

Ortodontzia finko metalikoa

Ortodontzia ikusezina

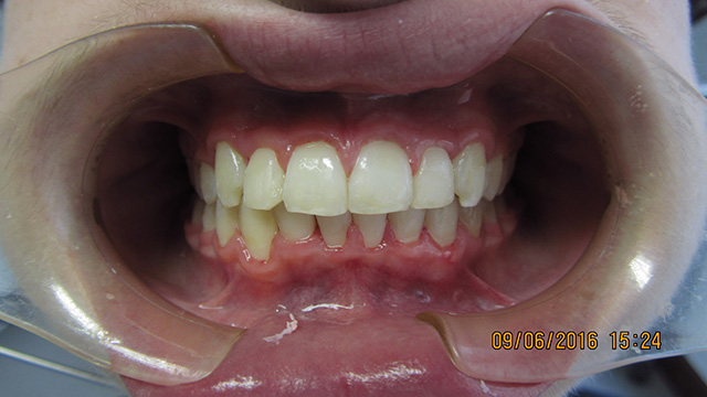
Kasuak
Ortodontzia
Ortodontzia, pilaketa ebakitzailea
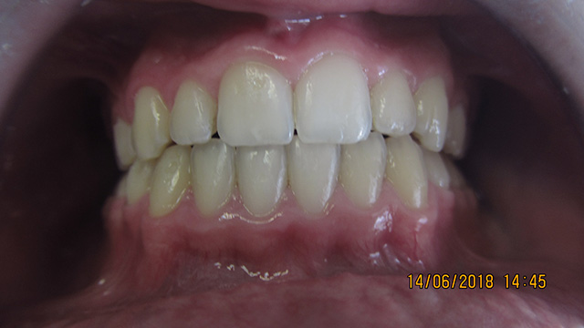
Ortodontzia
Lekua faltaren ortodontzia
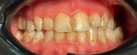
Ortodontzia
Ortodontzia ikusezina, zuritzea eta injektatutako karelak
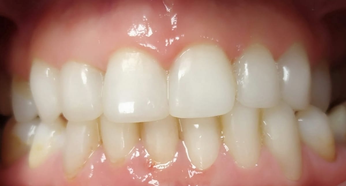
Ortodontzia
Ortodontzia, pilaketa ebakitzailea
Ortodontzia
Lekua faltaren ortodontzia
Ortodontzia






