Hortzen estetika
Gure hortz-klinikan, zure aho-hortzen osasuna hobetzeko eta mantentzeko zerbitzu sorta zabal batean espezializatzen gara. Hortzetako zuritze aurreratuetatik hasi eta azido hialuronikoa aplikatzeraino zure aurpegiko edertasuna nabarmentzeko, zure irribarrea modu diskretuan eraldatzen duten zirkoniozko kariletatik igaroz. Une oro, gure lehentasuna zure ongizatea eta gogobetetzea da.

Hortz-estetikan adituak gara
Gure talde aditua prest dago hortz-arreta bikaina emateko. Utz iezaguzu zure aho-hortzen osasuna eta aurpegiko estetika zaintzen abangoardiako tratamenduekin.
Zatoz eta esperimentatu aldea!
Gure aditu-taldea honetan espezializatzen da:
Hortzak zuritzea
Kontsultan, anbulatorioetan edo bi teknikak konbinatuz zuritzeak egiten ditugu, hidrogeno peroxidoa eta karbamida peroxidoa erabiliz irribarre distiratsuagoa lortzeko.
Azido hialuronikoa
Hortz-piezarik ez izateak edo hezur-bolumena galtzeak, zimurrak sakonago sakontzea eragiten du ahoaren inguruan. Azido hialuronikoaren bidez, betegarri txikiak egiten ditugu, pazientearen estetika nabarmen hobetuz. Pazienteak denboraren joanean ezpain-zimurrak zuzendu nahi dituenean edo ezpain-bolumena handitu nahi duenean ere erabiltzen da.
- Jartzeko erraztasuna.
- Aurpegiko infiltrazio itzulgarriak.
- Emaitza ezin hobeak aplikazioa egin eta 10-15 egunera (hasierako hantura % 40 inguru).
- Emaitza iraunkorrak, urtebete eta urte eta erdi artekoak.
Zirkonioren karilak
Zirkoniozko gure aurpegiak hortzetan itsatsitako protesiak dira, eta haien itxura hobetzen dute esku-hartze txiki batekin, zure irribarrea modu diskretuan eraldatuz.
Injektatutako karilak
Oso tratamendu kontserbatzailea eskaintzen dugu, erretxinazko karilen bidez, hortzen estetika hobetzen duena, jatorrizko hortz-egitura zainduz.

Kasuak
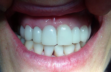
Estetika
Errehabilitazioa koroekin
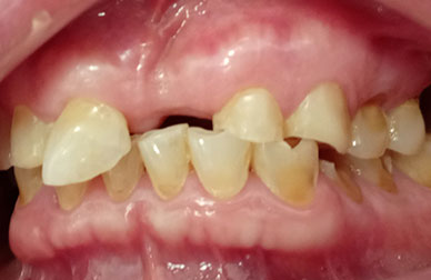
Estetika
Azido hilauronikoa
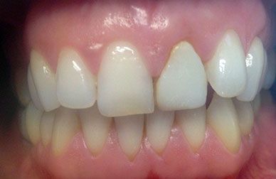
Estetika
Irribarrearen diseinua, injektatutako karilloekin eta koroekin
Estetika
Karillodun errehabilitazioa
Estetika
Errehabilitazioa koroekin
Estetika
Azido hilauronikoa
Estetika
Irribarrearen diseinua, injektatutako karilloekin eta koroekin
Estetika








