Implantología dental avanzada
Existen múltiples soluciones para remplazar dientes perdidos. En muchos casos, nos encontramos con limitaciones técnicas, funcionales o estéticas, además de la repercusión a nivel psicológico que puede representar en el paciente la pérdida de un diente.

Implantes Dentales: Soluciones Personalizadas
La implantología dental es, a menudo, la mejor solución para hacer frente a estas situaciones. En nuestra clínica tratamos los casos más extremos de maxilares atróficos, dando siempre una solución óptima y personalizada a nuestros pacientes.
En ocasiones, tenemos que recurrir a reconstrucciones para poder colocar los implantes. Buscaremos zonas donantes de hueso para reconstruir maxilares. Determinadas intervenciones requieren una anestesia local/sedación o anestesia general y se realizarán en Policlínica Gipuzkoa.
Nuestros servicios de Implantología Dental
Carga Inmediata: Dientes Fijos en 6 Horas
La integración del implante en el hueso solía requerir un periodo de 3 a 6 meses antes de colocar la prótesis definitiva. Durante ese lapso, se utilizaban prótesis removibles. Sin embargo, en la actualidad, el paciente puede salir de la clínica el mismo día de la cirugía con una prótesis fija provisional. Esto significa que durante el período de 3 a 6 meses, el paciente disfrutará de una prótesis fija en lugar de una removible, con todas las ventajas funcionales y beneficios psicológicos que conlleva.
Implantes Traszygomáticos
Los implantes traszygomáticos son una solución para pacientes con pérdidas óseas significativas. Estos implantes permiten rehabilitar casos extremos que anteriormente requerían prótesis removibles. Ahora, estos pacientes pueden disfrutar de la comodidad de implantes fijos en lugar de aparatos de quitar y poner.
All on Four
«All on Four» se refiere a la colocación de todos los dientes (superiores o inferiores) anclados en solo 4 implantes. Esta opción es ideal para personas que utilizan prótesis removibles y desean evitar cirugías extensas.
Trefoil
Trefoil es una técnica que permite la colocación de implantes y prótesis definitivas en el mismo día. Esta técnica se utiliza en casos muy específicos y ofrece la ventaja de proporcionar una prótesis definitiva de manera inmediata.
Implantes Provisionales IPI
Cuando los implantes definitivos no deben ser cargados de inmediato, utilizamos implantes provisionales para soportar la prótesis provisional.

Cirugía

Reconstrucción del Maxilar: En casos de pérdida ósea significativa que requieren restaurar el volumen del maxilar, realizamos la reconstrucción del maxilar. Esto implica aumentar tanto el volumen como la anchura o la altura del maxilar.
- Injertos de Mentón: Cuando se presentan pequeños defectos en los maxilares, utilizamos el mentón como zona donante de hueso para solucionarlos.
- Injertos de Rama de Mandíbula: Para abordar defectos óseos en los maxilares mayores, recurrir a la rama de la mandíbula como zona donante es una solución eficaz.
Elevación de Seno Traumática/Atraumática La cirugía de elevación de seno se realiza para recuperar hueso, permitiendo la colocación de implantes de mayor longitud.
Prótesis

Función Inmediata: Ofrecemos a nuestros pacientes la posibilidad de salir el mismo día de la colocación de los implantes con una prótesis fija provisional, lo que brinda comodidad y funcionalidad inmediata.
Prótesis Emergentes: Nuestras prótesis de cerámica proporcionan un aspecto natural y estético que se asemeja a un diente natural.
Prótesis Híbridas: Las prótesis de resina representan un compromiso eficiente en términos de calidad y precio.
Estructuras de Titanio Diseñadas por CAD/CAM: Nuestras prótesis cuentan con estructuras de titanio diseñadas por CAD/CAM, lo que garantiza una calidad y precisión excepcionales.
Periodoncia

Raspado y Alisado Radicular: En el caso de pacientes con enfermedad periodontal, realizamos un raspado y alisado radicular con anestesia. Este procedimiento está dirigido a evitar la pérdida del hueso que proporciona soporte al diente.
Injertos de Paladar, Tuberosidad, Tunelización: Para la recuperación de encía en casos específicos, utilizamos tratamientos como los injertos de paladar o la tunelización, a menudo recurriendo a zonas donantes como el paladar o la zona del último molar (la muela del juicio).
Nuestros servicios de Implantología Dental
Carga Inmediata: Dientes Fijos en 6 Horas La integración del implante en el hueso solía requerir un periodo de 3 a 6 meses antes de colocar la prótesis definitiva. Durante ese lapso, se utilizaban prótesis removibles. Sin embargo, en la actualidad, el paciente puede salir de la clínica el mismo día de la cirugía con una prótesis fija provisional. Esto significa que durante el período de 3 a 6 meses, el paciente disfrutará de una prótesis fija en lugar de una removible, con todas las ventajas funcionales y beneficios psicológicos que conlleva.
Implantes Traszygomáticos Los implantes traszygomáticos son una solución para pacientes con pérdidas óseas significativas. Estos implantes permiten rehabilitar casos extremos que anteriormente requerían prótesis removibles. Ahora, estos pacientes pueden disfrutar de la comodidad de implantes fijos en lugar de aparatos de quitar y poner.
All on Four «All on Four» se refiere a la colocación de todos los dientes (superiores o inferiores) anclados en solo 4 implantes. Esta opción es ideal para personas que utilizan prótesis removibles y desean evitar cirugías extensas.
Trefoil Trefoil es una técnica que permite la colocación de implantes y prótesis definitivas en el mismo día. Esta técnica se utiliza en casos muy específicos y ofrece la ventaja de proporcionar una prótesis definitiva de manera inmediata.
Implantes Provisionales IPI Cuando los implantes definitivos no deben ser cargados de inmediato, utilizamos implantes provisionales para soportar la prótesis provisional.

Cirugía

Reconstrucción del Maxilar: En casos de pérdida ósea significativa que requieren restaurar el volumen del maxilar, realizamos la reconstrucción del maxilar. Esto implica aumentar tanto el volumen como la anchura o la altura del maxilar.
- Injertos de Mentón: Cuando se presentan pequeños defectos en los maxilares, utilizamos el mentón como zona donante de hueso para solucionarlos.
- Injertos de Rama de Mandíbula: Para abordar defectos óseos en los maxilares mayores, recurrir a la rama de la mandíbula como zona donante es una solución eficaz..
Elevación de Seno Traumática/Atraumática: La cirugía de elevación de seno se realiza para recuperar hueso, permitiendo la colocación de implantes de mayor longitud.
Prótesis

Función Inmediata: Ofrecemos a nuestros pacientes la posibilidad de salir el mismo día de la colocación de los implantes con una prótesis fija provisional, lo que brinda comodidad y funcionalidad inmediata.
Prótesis Emergentes: Nuestras prótesis de cerámica proporcionan un aspecto natural y estético que se asemeja a un diente natural.
Prótesis Híbridas: Las prótesis de resina representan un compromiso eficiente en términos de calidad y precio.
Estructuras de Titanio Diseñadas por CAD/CAM: Nuestras prótesis cuentan con estructuras de titanio diseñadas por CAD/CAM, lo que garantiza una calidad y precisión excepcionales.
Periodoncia

Raspado y Alisado Radicular: En el caso de pacientes con enfermedad periodontal, realizamos un raspado y alisado radicular con anestesia. Este procedimiento está dirigido a evitar la pérdida del hueso que proporciona soporte al diente.
Injertos de Paladar, Tuberosidad, Tunelización: Para la recuperación de encía en casos específicos, utilizamos tratamientos como los injertos de paladar o la tunelización, a menudo recurriendo a zonas donantes como el paladar o la zona del último molar (la muela del juicio).
Casos
Implantología avanzada
8 implantes superiores
Implantología avanzada
Implantes sobre maxilar muy deteriorado
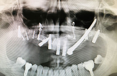
Implantología avanzada
Implantes zigomáticos anclados en huesos más lejanos
Implantología avanzada
Carga inmediata
Implantología avanzada
8 implantes superiores
Implantología avanzada
Implantes sobre maxilar muy deteriorado
Implantología avanzada
Implantes zigomáticos anclados en huesos más lejanos
Implantología avanzada








